porcelain-crowns
Applied Procedures: Porcelain Crowns
P4530_ss2048bs_t P4530_ss2048ys_t
Before Photo After Photo
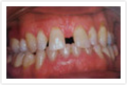
Applied Procedures: Porcelain Crowns
P4530_ss2049bs_t P4530_ss2049ys_t
Before Photo After Photo
Applied Procedures: Porcelain Crowns, Dental Bridges
P4530_ss2050bs_t P4530_ss2050ys_t
Before Photo After Photo
Appointment request
Need an appointment with a dentist in Indianapolis ? Requesting an appointment at our Indianapolis, IN family and cosmetic dental office is now easier than ever. Fill out the form below and we'll contact you to find a time that fits your schedule. Start your journey towards a beautiful smile with us today!
Patient Name*
Phone Number*
Email Address
Are you a current patient?
Best time(s) to call?
Preferred Appt Date
Preferred Appt Time
Message
Describe the nature of your appointment or any other comments